吴其常 主任医师 解放军第208医院骨科主任,擅长肢体伤残先后天畸形的矫治,对严重肢体短缩、骨盆倾斜、髋膝关节畸形有深入研究。(左图)
张志刚 主任医师 解放军第208医院骨科副主任,擅长肢体先后天畸形矫治、短肢延长,对脊柱外科假体置换有较深的研究。(右图)
观众朋友们,您们好!这里是中央电视台《健康之路》直播节目,今天我们来聊的是肢体不一样长方面的问题。
主持人:首先来看一张照片,照片中小孩的右臂比左臂明显要长,为什么会出现这种情况? 吴其常:这张照片是十年以前照的,当时小孩14岁,据小孩的母亲介绍小孩在不到一岁时得了右肩化脓性关节炎,虽然关节炎治好了但是发现胳膊越来越短,不但外形上不好看,有些体育活动也不能参加,给孩子带来了身心两方面的创伤。
主持人:小儿麻痹症也是造成肢体不等长的原因吗? 张志刚:临床上我们治疗的病人过去大多数都是小儿麻痹后遗症导致的肢体不等长,随着我国强化免疫政策的深入实施,这种情况已经得到了很好的控制,目前临床上肢体不等长的病人大多是由于骨的感染、创伤、肿瘤等原因造成的。 短肢原因 1、 神经营养:小儿麻痹后遗症。 2、 血循障碍:学骺缺血。
3、 骨骺早闭:外伤、感染、结核。 4、 骨骼丢失:开放性骨折。 5、 先天性。 6、 其他。
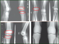
主持人:骨延长手术具体是怎么进行的? 张志刚:来看一张电脑图示,骨延长手术是将长骨截断,安装上延长器械,按照一定的速度把它牵开,让骨头慢慢地生长成型。正常的骨头是通过骨头两端的骨骺长出来的,来看一组X光片,红圈部分就是骨骺,正常人的骨骺内充满软骨,随着软骨的不断生长和骨化,骨头就长长了,一旦骨骺闭合,骨头就不会再长长了,如果小孩由于某种原因造成了一侧骨骺过早闭合如感染、外伤等,那么这一侧骨头的生长就受到了限制,由于对侧肢体还在继续生长,就出现了肢体不等长的情况。
主持人:这种手术会引起血管和神经的损伤吗? 张志刚:运用这种缓慢延长的方法,神经和血管不会受到损伤,因为这是一种缓慢的牵拉,神经和血管能够适应这种牵拉的速度,具体采用什么样的速度因人而异,应该由医生根据病人的具体情况来掌握。
主持人:手术后骨头的坚固程度如何?多长时间能够恢复正常?对关节的活动情况有影响吗?
吴其常:一般来说停止延长3-6个月时,骨头密度能够达到正常骨密度的一半,这时就可以去掉外固定架,外固定架去除后骨头的生长并没有停止,还会根据人体的需要继续生长,一般来说恢复时间是停止延长后3个月-6个月,具体恢复时间与年龄、个体体质和延长长度有关系。手术对关节是有一定影响的,来看一张片子照片中的女孩18岁,以前左大腿比右侧短10公分,去掉支架后一年复查时双腿长度恢复正常,下蹲时髋关节和膝关节都没有什么影响。
主持人:经过延长手术后四肢的功能可以恢复到正常人的状况吗? 张志刚:来看几张照片,手术前小孩的右肢比左肢短了14公分,手术后可以明显的看出上肢长度一致,再来看患者的X光片,最右边是我们十年后随访时拍的,骨头的生长情况非常好完全看不出延长的痕迹了。以下还有一段录像,患者现在是一名老师,可以同正常人一样进行体育活动,包括植树、提水等,字也写得非常漂亮。

主持人:湖南白先生 我的孩子得过关节结核,之后两条腿就一长一短,他只有8岁,可以做骨延长术吗?手术后会影响他的发育吗? 张志刚:首先应该照一张X光片,看一看关节结核是否造成脱位,也就是要明确一下短肢的原因,到底是肢体短缩引起的还是脱位引起的,如果没有脱位那就是关节结核引起的肢体短缩,应该根据短缩的程度来进行治疗,如果短缩的不多可以通过补高鞋暂时性地恢复功能,如果短缩的较多就应该做骨延长手术,不会影响孩子的发育。
主持人:四川耿女士 我弟弟因车祸造成严重粉碎性骨折,由于有大段骨缺损,手术后两条腿不一样长,这种情况可以做骨延长手术吗? 吴其常:这种骨缺损可能是由于事故当场造成的或医生手术时避免感染取出的骨碎片较多。对于大段的骨缺损治疗过去都是分三步进行治疗,1、控制感染。2、植皮。3、植皮三个月后把缺损的骨头修复上,经过锻炼逐渐恢复。目前我们采用的是骨输送的方法,如图,把缺损处骨头向下拉,上面的骨头逐渐得到修复,下面的缺损处也会逐渐愈合,这种方法避免了取自身的骨头,这种方法是在骨延长的原理上发展而来的。来看一个病例,患者六岁由于煤气罐爆炸,造成了12公分的骨缺损,X光片中看到术后恢复得非常好,如果不是运用这种手术方法有效地进行治疗就只能截肢,对于一个六岁的孩子来说太残酷了。
主持人:河北刘先生 我孩子右臂比左臂短2厘米,不仔细看不很明显,平时做事情也没有什么影响,不知道会不会随着孩子的成长,这种差距会越来越大,一定要手术吗? 张志刚:首先应该查清短肢的原因,到底是骨骺损伤还是先天性的短肢或其它情况,如果短肢不影响正常的生活还应该继续观察,关键是要找出病因然后对症进行治疗。
主持人:安徽张先生 20岁 我患有先天性髋关节脱位,两条腿差距6厘米,有酸痛感,这种情况是不是必须手术治疗? 吴其常:首先应该纠正脱位,纠正后双腿差距如果在3厘米以下,就可以通过补高鞋来补偿差距,如果高于3厘米还是应该进行手术延长。
主持人:手术后的恢复是应该多卧床休息还是多活动?还应该注意哪些问题? 张志刚:从给病人做手术时就强调功能锻炼,因为功能锻炼能改善病人的血液循环,防止肌肉肌腱挛缩,可以促进骨骼生长,另外由于戴架的时间比较长,还应该防止感染。
主持人:河北王女士 我孩子现在3岁,左侧髋关节脱位,做了9个月的石膏固定,股骨头长大了一些,但左右还是不对称,而且左腿长右腿短,请问该如何治疗? 吴其常:首先应该拍一张X光片看一看骨头复位的情况,3岁的小孩腿部左右不对称建议继续观察,如果双腿长度差距超过3厘米并且有加大的趋势,就可以考虑做延长手术。
主持人:江西胡先生 我孩子6岁时左腿比右腿短,当时做了肢体延长手术,现在8岁,发现左腿又比右腿短了一点,请问该怎么办? 张志刚:对小孩的延长手术一定要慎重,如果差距小可以穿补高鞋,不要在孩子很小的时候就做延长手术,因为小孩发育很快,肢体不等长还没有定型,一般来说在骨骺接近闭合的年龄做手术比较合适,大约16-17岁左右。
主持人:洛阳冯女士 我的孩子8岁时从楼梯上摔下,造成右腿骨折,骨折愈合后伤腿短了大约2寸,医生建议做骨延长,我想知道骨延长后新长出的骨头会不会再断? 吴其常:这种情况确实要进行骨延长手术,前面已经讲过了术后不会有什么不良影响。
主持人:浙江方同学 17岁 我现在上高一,身高1米53,四肢没有缺陷,可不可以通过手术增高到1米6? 张治刚:我们不主张正常人做骨延长手术,因为手术毕竟还是很痛苦的,需要打断骨头、上延长架,时间也比较长等,延长术首要的目的是为了恢复四肢的功能,而不是为了美观。
主持人:上海安先生 27岁 我的腿被猎枪打伤后得了骨髓炎,右腿短了8公分,手术过3次,骨头还是没长上,请问还有办法治疗吗? 吴其常:这种情况可以治愈,首先应该清理掉已经坏死的那一部分骨头,控制住感染,然后再运用前面讲过的骨输送的方法进行治疗,骨延长的过程还能增加血液循环,帮助骨头的生长。
主持人:汕头关女士 30岁 我小时侯腿部长过血管瘤,贴同位素后影响生长,左腿不但短了一截而且很细,请问还可以治疗吗? 张治刚:我们临床上遇到过这样的病人,贴同位素治好了血管瘤但同时也影响了骨骺的生长,肢体发育受到了影响,这种情况是完全可以进行骨延长手术的。
主持人:北京唐女士 60岁 我患类风湿18年,右腿比左腿稍短,影响走路,但照片子没有问题,右腿膝关节伸不直,请问该如何治疗? 张治刚:类风湿病人腿部短缩多数是由于关节的软骨破坏引起的,应该根据关节破坏程度来考虑治疗方案。
主持人:大连许先生 32岁 我小时侯因为一次意外右胳膊受伤,停止生长,现在与左胳膊相差5-7厘米,请问如果不做手术,药物可不可以治疗? 吴其常:患者的骨骺已经闭合,药物治疗是起不到什么作用的,患者只能通过手术弥补短肢,上肢的手术应该慎重如果差距不是太明显,建议不做为好。这种手术费用不是很高,一般5000元左右。
主持人:医院联系电话(0431)6988040、6988556
|