 沙月琴 教授 北京大学口腔医学院牙周科主任、中华口腔医学会牙周病学专业委员会常务委员 数次参加国际学术会议并报告论文,主编、参编专著6部,曾获卫生部科技成果奖,被多次评为北医大优秀教师和先进个人。(左图)
章锦才 教授 主任医师、博士生导师、广东省口腔医院院长、中华口腔医学会理事、牙周病专业委员会常委、广东省卫生厅牙病防治指导组副组长,主编、参编著作7部,曾获国家和省部级奖项。(右图)
观众朋友们,您们好!这里是中央电视台《健康之路》直播节目,今天我们来聊的是牙周病方面的问题。
主持人:什么是牙周病? 沙月琴:首先来谈谈什么是牙周组织,顾名思义牙周组织就是牙齿周围的组织,也是牙齿的支持组织,如图牙周组织包括牙龈、牙骨质、牙周膜、牙槽骨。健康的牙周组织可以使牙齿非常稳固而且能够充分地发挥咀嚼功能的作用,健康的牙周组织的牙龈应该是粉红色的,边缘应该紧贴牙面,如图这是一个正常的牙龈。 章锦才:牙周病包括牙龈炎和牙周炎两大类,牙龈炎的炎症仅仅局限于牙周组织,如果炎症进一步向深部发展,引起了牙周组织的破坏,就会发展成为牙周炎。牙周膜破坏后牙龈就和牙根剥离了,剥离后牙龈和牙根就会形成牙周带,牙周带的形成和牙槽部的吸收是牙周病的两大特点,也是牙龈炎区别牙周炎的两个根本特点,牙周炎比牙龈炎要严重得多。
 
主持人:什么是牙周带? 章锦才:牙周带是当牙周组织破坏后,牙龈和牙根面剥离后,在牙龈与牙根面之间形成的潜在的带就称之为牙周带,一旦形成牙周带后,牙周带里可以产生大量的细菌,产生大量的毒素,引起病变的进一步发展,还会给治疗带来很大的麻烦。
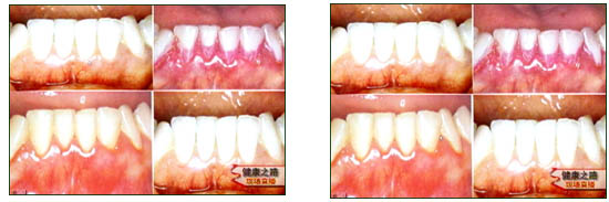
主持人:整个牙周病的发病过程是怎样的? 章锦才:口腔与外界环境是相通的,里面有大量的细菌,如图沉积在牙颈部的细菌会产生大量的毒素,毒素会刺激牙龈组织发炎,牙龈组织发炎后就会出现充血、水肿、炎性细胞渗出,临床就会表现牙龈的肿、红、疼痛、出血等症状,如果炎症仅仅局限于牙龈,这时治疗是可逆的,恢复起来也比较好,牙龈完全可以恢复到一个正常的结构。如果这时炎症没有控制好,继续向深部发展,就会引起牙槽骨的破坏和牙周膜的破坏,这就是典型的牙周炎的症状,牙周炎早期牙齿不一定有松动,到了晚期就会出现松动。 沙月琴:来看一组图:左上角是一个很健康的牙周组织,一旦停止口腔卫生,十天以后(右上图)牙颈部就堆积了大量的菌斑,左下角图中可以看到牙龈已经发肿,边缘也变厚了,颜色已经发红,这说明已经有了牙龈炎了,恢复口腔卫生措施(刷牙)后,右下图中可以看到牙龈颜色和各方面完全已经恢复正常了,这也充分说明了细菌确实是引起牙周病的罪魁祸首。
章锦才:来看一张图,病人的牙槽骨破坏得非常厉害,到了这种程度,牙齿就非常松了,这种牙齿只能拔掉,没有什么保留价值了。因为牙周病拔牙已经成为临床中老年人拔牙的最主要的原因。
主持人:是不是只有成年人才容易得牙周炎? 沙月琴:这种观点是错误的。3岁的儿童就可以得牙龈炎,5岁的儿童就可以得牙周炎,临床上我们也确实看到过3岁半的孩子得了很重度的牙周炎,所以从幼儿开始就应该关注孩子的牙周健康。 章锦才:青少年牙周炎的发病率明显比中老年人要低得多,但是一旦发病就会十分严重。如图:从外观上看牙龈并没有十分红肿的症状,手术过程中翻开牙龈可以看到牙槽骨已经破坏得非常严重了,患者是因为觉得牙齿开始松动了,才来到医院看病的,到医院后医生通过牙周探测器探察后发现牙周带已经很深了,然后用照X片就看到了牙槽骨的异常情况。
沙月琴:有很多早期症状是可以自己察觉到的如刷牙时出血、吃东西时留下血印、早起时唾液中有血,这时就应该考虑到牙龈炎的可能性,这时照镜子看一下如果牙龈从原来的粉红色变成了红色或暗红色而且牙龈缘变厚,和牙齿已经分开了,就可以肯定是得了牙龈炎了。进一步发展还会有牙齿松动、口腔异味的情况。
主持人:维生素缺乏会引起牙龈出血吗? 章锦才:维生素C缺乏是会引起牙龈出血的,但是现在这种情况已经非常少见了,临床上牙龈出血95%以上都是因为有牙龈或牙周炎症引起的,还有个别病人是由于全身的血液系统疾病引起的牙龈出血。 沙月琴:牙周炎不仅会影响到口腔健康,还会影响到全身健康。有研究表明牙周炎与心血管疾病、消化系统疾病、肺部感染有关,另外孕妇有了牙周炎后还会引起新生儿早产、低体重,牙周炎甚至还与糖尿病有着密切的关系。 章锦才:糖尿病病人的抵抗力比较差,所以容易得牙周炎,另外糖尿病病人的组织修复能力比较差,一旦得了牙周炎后往往是比较严重的,而且容易发生脓肿,反之,牙周炎又可以影响糖尿病,一旦糖尿病伴发牙周病炎后,糖尿病病人对血糖的利用就更差了,所以糖尿病和牙周炎之间是一种互相影响的恶性循环。 沙月琴:牙周疾病可能还会对孕妇和婴儿产生影响,国际上的调查结果表明牙周炎孕妇出现新生儿早产低体重是没有牙周炎的孕妇的7.5倍,经过研究得出的答案是由于分娩过程中,子宫收缩时需要前列腺素这种物质,而牙周炎细菌的代谢产物有大量的前列腺素,这种前列腺素可以通过血液刺激子宫,加快子宫的收缩,容易引起早产和低体重。
主持人:牙周病和胃病之间有没有什么关系? 沙月琴:牙齿不好,吃东西时可能会直接咽下去,对胃部的消化会有一定的影响,但是如果发生胃溃疡,决不是因为牙齿嚼不动食物引起的,主要原因是有一种细菌叫做幽门罗杆菌,可以导致慢性胃炎、胃溃疡、甚至胃癌,研究表明牙周炎病人的菌斑当中也有这种细菌,而且这两部位的细菌的基因型完全相同,进一步研究发现,重度牙周炎患者的胃溃疡程度严重,如果把牙周炎经过彻底的治疗,胃黏膜上的幽门罗杆菌的数量也会下降,因此对于胃病伴有牙周疾病的患者来说,应该首先到口腔科看牙周疾病,这对于胃病的愈合会有很大好处的。
主持人:海口王女士 25岁 我从小就很重视刷牙,可是现在都二十多岁了,我的牙龈还在发炎,这是怎么回事? 章锦才:刷牙首先应该保证有正确的方法,即使很正确的刷牙也不能保证就能把口腔中所有的细菌都刷掉,还应该定期去看牙科医生,请牙科医生来帮助清洁口腔。
主持人:深圳陈女士 33岁 我的槽牙长了蛀虫,只剩下一个小牙根,经常疼痛,医生说是牙周病,请问把牙根拔掉可以吗?还会疼吗? 沙月琴:如果只剩下一个小牙根,这种牙保存起来也没有什么价值,是可以拔掉的,拔掉后就不会再疼了。
主持人:山西白女士 27岁 我父亲有牙本质过敏症,吃东西过冷、过热都不行,请问该怎么办? 章锦才:牙本质过敏到了一定年龄是一种非常常见的现象,首先应该看医生,如果可以找到很明显的过敏点,这时医生可以进行脱敏治疗,治疗需要一个过程不可能有立杆见影的效果,患者一定要有耐心。
主持人:四川赵先生 32岁 我到医院看牙,医生让我戒烟或少抽烟,抽烟怎么和牙周病也有关系? 章锦才:吸烟与牙周病的关系是非常密切的,吸烟已经成为牙周炎发生、发展的一个非常重的危险因素,吸烟者的抵抗力较低,容易感染,吸烟者牙周组织的修复再生能力也比一般人差。
主持人:如果没有牙周病的症状,是否就说明牙周就是健康的呢? 章锦才:这种观点是不对的,虽然牙周病患者一般都有出血、口臭、等症状,但是也有很大一部分病人早期没有任何症状,但是没有症状不等于没有牙周病,有可能是虽然感觉不到症状,但是牙槽骨等组织已经遭到破坏,一旦发现就可能已经是晚期了,即使没有症状也应该坚持定期地去看牙科医生。
主持人:湖南安女士 54岁 安了假牙是不是就不会得牙周疾病了? 沙月琴:如果是全口假牙就肯定不会得牙周病了,如果还有一部分真牙,甚至更容易得牙周病,因为往往安了假牙后反而对自己的真牙爱护不够,只是注意到清洁假牙。
主持人:福建廖先生 21岁 我的牙齿只要一碰凉东西就很疼,这是什么原因? 沙月琴:这种情况不象是牙周病,可能是有龋齿,牙齿一碰凉东西就很疼是龋齿的典型症状。
主持人:山东泰安张女士 21岁 我们家上一辈人就有得牙周炎的,并且不到50岁牙齿就掉了,想知道牙周炎会不会遗传? 章锦才:牙周炎是可以遗传的,但是遗传并非决定因素,只能说有牙周病史的人,发生牙周病的比率比正常人群高。
主持人:北京朝阳区胡女士 31岁 我怀孕7个月,最近连续半个月每天晚上牙龈出血,颜色很红,会影响我肚子里的孩子吗? 沙月琴:怀孕7个月,胎儿的各个器官已经发育完成了,但是如果不对牙周炎进行治疗,是有可能引起早产的。
主持人:门诊时间 沙月琴 周四上午 章锦才 周二、四上午;医院联系电话(010)62179977--2390;(020)84402312
|