 张丁 主任医师 北京大学口腔医学院正畸科副主任 从事临床科教工作尤其擅长口腔畸形的矫正,曾在日本昭和大学齿学部进修,获美国康涅迪格州立大学健康中心博士后。(左图)
贾绮林 博士 1990年北京医科大学正畸专业研究生毕业,北京大学口腔医学院正畸科副教授,硕士研究生导师,英国爱丁堡皇家外科学院正畸院士,对牙齿畸形的矫治有较为丰富的经验。(右图)
观众朋友们,您们好!这里是中央电视台《健康之路》直播节目,今天我们来聊的是牙齿不齐方面的问题。
主持人:整齐的牙齿排列应该是怎样的? 张丁:如图:整齐的牙齿应该排列成对称的马蹄形,牙与牙之间应该是紧密排列的,没有间隙,将上下颌牙齿咬在一起来看,上面的中线和下面的中线应该是对在一起的,从侧面看上面的牙尖应该咬在下面两颗牙齿相连接的部位,保证牙齿彼此之间有一个很好的嵌合关系,上牙应该盖住下牙,一般不超过牙冠的三分之一,如果太深也是不正常的,上牙应该在下牙的前面也不能太多,应该在3毫米左右,正常的咬合状态下脸形也应该是很协调的,在自然的放松状态下,口唇可以自然闭合,脸形是对称的,从侧面来看,脸形比较平直、没有凹凸,这就是牙齿的正常咬合状态。
主持人:不整齐的牙齿排列又是怎样的呢? 贾绮林:如图:不整齐的牙齿医学上称之为错合畸形,这是一个下颌前突反颌的病人,俗称地包天。另外一张图中,左上图上牙盖住下牙的范围大大超过了3毫米,称之为上颌前突,俗称龅牙。下图中的错合畸形称为开颌,由于上下颌完全吻合不上,这会严重影响到对食物的切割。第三张图中牙齿的咬合不是正常的牙尖与尖窝的咬合关系,是一种尖对尖的咬合关系。第四张图中,牙齿的排列虽然还比较整齐,但是闭不上嘴,这也是一种错合畸形。 张丁:造成错合畸形的原因很多,主要有两大类:一种是由遗传造成的,另一种是由于后天的环境因素造成的。
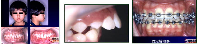
主持人:严重的错合畸形除了对美容和心理上带来一些负担和阴影以外,对于口腔本身来说是否也会造成一定的疾病呢? 张丁:牙齿排列不齐也会造成一些口腔的疾病。来看一张图:患者的坏牙很多,主要是由于有三颗牙齿叠在一起,很难清洁,每次进食完后有食物残渣堆积,细菌作用在残渣堆积处产生酸,就造成了虫牙。来看另外一张图,患者的牙龈已经退缩了,牙根已经都露出来了,发展下去很容易松动甚至是脱落。
主持人:北京梁女士 34岁 请问牙齿矫正需不需要拔牙? 贾绮林:应该视具体情况而定,一般来讲如果牙齿拥挤得比较厉害或前突比较厉害就需要拔牙。 张丁:临床上拔牙的病例比例还是很高的,至少是40%以上的病人都需要拔牙,但对于具体到个人是否需要拔牙,还应该视具体情况而定。
主持人:如果孩子牙齿出现不整齐的情况,什么时候进行矫治比较好呢? 张丁:一般来讲对于大多数病人都需要等到牙齿替换完以后(12岁左右)开始正畸治疗比较合适,但是有一些情况需要早期治疗。如图:这是一个地包天的患者,脸形已经是一个月牙形的脸了,应该早期治疗,甚至于在乳牙阶段就应该开始治疗,我们最早治疗的病人大概在4岁左右。来看另一张图,孩子的牙齿突在外面很多,上颌骨也比较向前突,这种情况应该在生长发育还没有结束时及时治疗,限制上颌骨的发育,促进下颌骨的发育。 贾绮林:矫正牙齿通常是用矫正器进行矫正。如图:这是一个固定矫正器,每一颗牙齿上都有一个金属的托槽,托槽是粘在牙齿上的,自己是无法取下来的,必须一直戴着,固定矫正器适合于绝大多数的错合畸形。来看另一张图,这是一个活动矫正器,病人自己可以进行摘戴,这种矫正器需要病人进行配合,戴上后伸舌头就不是很方便了,迫使患者改正不良习惯。 张丁:牙齿是生长在骨骼里的,人体的骨骼是非常活跃的,特别是牙槽骨,一生都在进行不断的改建。矫正器是把力量加在牙齿上,通过牙齿把力量传到牙槽骨,牙槽骨有一个特点,受到压力后会发生吸收,受到牵拉的力量就会有新生,这样在压力的作用下一侧吸收、一侧新生,牙齿就会逐渐在骨骼里改变位置,按照需要处于正确的位置。这就是矫正牙齿的原理。
主持人:这种治疗需要多长时间? 贾绮林:对于绝大多数病人来说,运用矫正器进行治疗,尤其是拔牙的病人,治疗时间一般是1年半到两年。治疗时间根据畸形的不同可能稍有差别,但不会相差得太多。 张丁:正畸治疗加在牙齿上的力量一般是100克左右,然后循序渐进地施加压力,孩子戴上矫正器以后可能会有一些不适的感觉,如出现口腔溃疡,加力后牙齿会觉得有一些酸胀,但是这些都是可以耐受的,临床还没有发现因为这些原因不能耐受治疗的情况。
主持人:治疗效果如何? 张丁:来看几个病例:如图患者的牙齿排列很乱,治疗后牙齿的排列非常整齐。另一张图中,地包天的患者通过治疗后,咬合关系和脸形都恢复了正常。 贾绮林:矫正牙齿是把牙齿矫正到了一个新的位置上,由于牙齿有一个回到原来位置的趋势即复发,通常是运用保持器来防止复发,保持器可以很好的维持牙齿的新位置,一般需要戴两年,第一年需要24小时戴(吃饭、刷牙除外),第二年一般是晚上戴,对于一些特殊的畸形,根据不同的情况,配戴的具体要求也不一样。
主持人:为什么一般是在12岁左右来进行矫正治疗而不是更早或更晚? 张丁:因为牙齿一般是在12岁左右才会全部替换完成,如果牙齿没有替换完成,在一个交替的状态,嘴里有乳牙和恒牙,这时无法进行全面的诊断,如果这时开始治疗,疗程会拉得很长。关于能否等到更大一点再进行治疗的问题,对于单纯的牙齿排列不齐,是可以等到年龄再大一点后进行治疗的,但是如果是有骨骼的问题,等孩子过了生长发育期,就会耽误治疗时机。
主持人:如果成人的牙齿出现了不整齐的情况,可不可以进行矫治? 贾绮林:成人是可以进行牙齿矫治的。对于骨骼畸形比较严重的病人,单纯用正畸的方法是不够的,还应该运用手术的方法来配合正畸进行治疗。成人矫正治疗的时间和小孩差不多,大约也是1年半到2年左右。
主持人:河北周女士 25岁 我下排有一颗门牙长了两颗,重叠在一起,请问我需要拔掉哪一颗,另一颗会不会因松动而掉下来? 张丁:这种情况就是前面讲到的一种情况即在乳牙没有掉的情况下恒牙长出来了,形成了两层牙,这种情况不要轻易拔牙,应该咨询正畸医生。
主持人:北京何女士 28岁 我的孩子刚长出两颗牙,看上去有点歪,需不需要带孩子去医院矫正? 张丁:刚刚长出的乳牙有一点歪不用太着急,可以先观察。
主持人:牙齿不齐可以预防吗? 贾绮林:牙齿不齐有很多因素,如果是遗传因素是无法进行预防的,其他因素如不良习惯,如吃手指头,可以通过改正不良习惯达到预防的目的
主持人:天津杨女士 25岁 我现在正进行正畸治疗,前两天医生说我有牙龈炎,为什么治疗前我没有牙龈炎,治疗中却有了呢? 贾绮林:固定矫正器有一个缺点就是如果不好好刷牙,就容易引起牙龈的发炎,患者应该特别注意口腔卫生,建议每天刷5次牙。如果有条件还应该定期洗牙,也就是我们通常说的洁治。
主持人:江西赵先生 52岁 我女儿因为骑车摔掉一颗门牙,到医院镶了一颗假牙,是粘上去的,现在从外形上不是很好看,请问能不能更换,有难度吗? 张丁;这不属于正畸的范围,应该属于修复科或镶牙科,不好看的原因可能是由于镶牙时间隙不够,修复科医生只能够镶上一颗小牙,这种情况需要正畸医生把这个间隙拓展到正常的大小,镶出来的牙就会很漂亮了。
主持人:门诊时间 张丁 周二、五全天 贾绮林 周二、四全天;医院联系电话 (010)62179977--2381、2334
|