 王俊 教授 北京大学人民医院胸外科及胸部微创中心主任 长期在国内外著名大学和医学中心学习和工作的阅历使其具备了丰厚的理论基础和扎实的临床技能。(左图)
刘军 副教授 北京大学人民医院胸外科副教授 长期从事胸外科工作,对肺癌、食管癌等疾病的诊治及电视胸腔镜在胸外科疾病中的应用有较多经验,发表论著8篇。(右图)
观众朋友们,您们好!这里是中央电视台《健康之路》直播节目,今天我们来聊的是肺癌的微创治疗方面的问题。

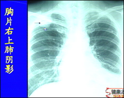
主持人:怎样才能知道自己是否得了肺癌? 王俊:最简单的方法就是到医院做一个体检,其中包括胸片检查,到目前为止胸部X线检查仍然是肺癌的首选筛选检查,如图这位病人在右肺上叶有一个小的结节,然后进行CT检查就是为了明确诊断和分期。近年来肺癌已经成为了人类肿瘤死亡的头号杀手。建议40岁以上有长期吸烟史的人最好每年进行一次体检,以便发现肺癌的早期病变,因为对于晚期肺癌目前医学界还没有很好的解决方法。
主持人:来看一位患者的情况。患者:"我是8年前做胸腺瘤手术后复查时发现右肺上叶背端有一个很小的病灶,当时这个病灶很小只有一厘米左右,所以就没有做,那时我国的胸部发展微创技术还很低,要用别的方法来做活检如胸部直接穿刺或者经气管内插管穿刺,对于我这个位置有一定困难,所以就一直没有做,这次我自己在复查时发现确实已经不能再耽误了,所以我就下决心到北京来做了,现在回想起来我这个病耽误了8年,从我个人来讲是非常幸运的,但并不是每个病人都会像我一样幸运,所以我希望所有的病友们,当发现肺内有病变时要及早和医生商量,尽早用现代科学的方法作出诊断和治疗。" 刘军:这位患者确实很幸运,表现在1、病变在他身上存在了8年,手术清除淋巴结的时候没有发现转移。2、在8年前微创技术还比较落后,而现在他能够享受到微创技术带来的好处。
主持人:为什么这位病人自己是一位医生肿瘤长了8年却没有去治疗? 王俊:主要是害怕开胸手术这个大的创伤,另外一开始病人还不知道自己长的是恶性肿瘤怀有一定的侥幸心理。 刘军:如图人体肺脏就像一个倒置的大树,在大树大的枝节里的肿瘤叫做中心型肺癌,对于周围的病变称为周围型肺癌。对于中心型肺癌的诊断主要依靠痰找瘤细胞检查和纤维支气管镜检查。 王俊:所谓痰找瘤细胞镜检查就是从痰中发现病人咳出的一些脱落的肺癌瘤细胞来进行确诊的一种病理检查方法。优点是无创伤和痛苦,但是也有很多不足之处如病人并不是咳出的每一口痰中都有瘤细胞,另外目前的检查手段、病人的留痰方法不容易控制,目前临床检出率并不是很理想,因此运用得也越来越少。 刘军:纤维支气管镜检查与胃镜、肠镜的检查原理是相似的,就是通过一种光导纤维来窥视人体内的变化。如图纤维支气管镜通过鼻腔进入人体的气管中,可以看清病变还可以取活检。纤维支气管镜有一些局限性,对于周围性的肺癌,由于纤维支气管镜的镜头比较粗,到达不了镜头的细支末节,所以对于周围型肺癌的诊断有一定的困难。
主持人:对于周围型肺癌有哪些诊断方法? 王俊:对于周围型肺癌的诊断,目前主要有三种方法: 周围型肺癌的诊断方法 1、 经皮针刺肺活检 2、 开胸肺活检 3、 电视胸腔镜肺活检 其中经皮针刺肺活检主要是通过在CT或X光线或B超引导下,通过一个细的穿刺针,经皮肤穿到肺脏,然后取出标本来做病理检查的一种方法,这种方法的优点是创伤比较小,但是也有缺陷1、定位不是很准确2、取的标本量很小3、可能存在穿刺窦道里的种植性转移以及手术带来的气胸或血胸并发症。因此这种方法的应用目前在逐渐减少。 刘军:开胸肺活检就是指用手术方法打开病人的胸腔,然后发现和切除病变组织,送病理然后明确诊断,这种方法取得的标本比较多但是创伤比较大。
主持人:那么电视胸腔镜肺活检是一种什么样的技术? 王俊:这是近年来开始的一种全新技术,如图通常是通过3个胸壁1-1.5厘米的小切口来完成手术的。胸腔镜后面接着一个微型摄像机,然后连接到一个高清晰度的电视机上,通过另两个切口植入一些特殊的手术器械,在胸腔镜下可以非常清楚地看清胸腔病变。目前在一些有条件的大医院,这种手术已经完全取代了传统方法,是一种具有很好前景的治疗方法。
主持人:吸烟与肺癌有关系吗? 刘军:吸烟与肺癌的关系是很密切的,在患肺癌的病人中有85%以上的人都有吸烟史。
主持人:确诊为肺癌后需要进行哪些治疗? 刘军:肺癌的治疗分为两种1、手术治疗2、非手术治疗。早期肺癌适合于手术治疗,晚期肺癌适合于非手术的保守治疗。对于晚期肺癌的主要并发症如心包积液、胸腔积液等病人也可以采取手术方法来解除症状,使症状得到一定程度的缓解。
主持人:今天所介绍的微创治疗原理是什么? 王俊:从图中可以看出患者的右肺上叶有一个直径2厘米的病灶,可以在胸腔镜下切除掉这个病灶,切下的标本可以送病理检查,在半小时内就可以知道这个肿瘤是良性的还是恶性的。如果是肺癌,肺功能很差,采取这种姑息治疗就可以了,如果患者的肺功能很好,要达到根治治疗的目的就需要再进行根治手术,往往要加一个小的切口,在胸腔镜下就可以很顺利地完成。
主持人:来看一段录像。 王俊:这是一位早期肺癌的患者,由于这位患者的肺功能很差,所以在全麻后把他放在一个侧卧位的位置上,在胸壁做一个1厘米左右的小切口,然后在切口上放一个套管,然后通过套管植入胸腔镜,胸部所有的解剖结构就可以从荧光屏上看到了,发白的部位就是肺部的肿瘤,然后用切割缝合器把肿瘤切开、钉合,手术操作是很快的,出血量很少,大约在10毫升左右。将肿瘤标本取出后必须放入标本袋中,这样可以避免肿瘤的种植转移。
主持人:为什么取出的这一段是黑色的? 刘军:对于老人尤其是吸烟的人和居住在污染较重的城市中的人由于长期沉积污染物,因此肺部有很多黑色的斑点,正常肺组织应该是粉红色的。
主持人:手术过程中使用的缝合钉以后就一直留在人体内了吗? 王俊:这种钉子留在人体内并不可怕,因为这是一种钛合金高技术产品,对人体几乎没有什么不良反应。这种钉子目前只有美国才能够生产,因此价格很贵,手术过程中的费用会比较高,但是由于这种手术不需要长期住院,术后也不需要大量好的抗生素来进行治疗,住院时间也缩短,所以整个费用不会比开胸手术高。
主持人:所有的肺癌患者都可以运用这种治疗方法吗? 刘军:不是所有患者都适合的。对于周围型肺癌病人尤其是心肺功能比较差的病人是最适合用这种方法的,而对于病变比较大(大于5厘米)甚至于病变侵犯胸壁、心脏、胸腔的大血管的病人和中心型肺癌都不适用于用胸腔镜的方法。 王俊:这是一个手术刀口的对比图,要根据不同的病变部位和早晚期情况来决定手术方法。
主持人:胸腔镜手术的效果如何? 王俊:胸腔镜手术到目前为止已经开展了10周年了,可以说是一个比较成熟的手术学科,是胸外科最常用的手术方法,手术的微创效果、美容效果、术后恢复效果是肯定的,治疗效果也是有保障的。有报道表明胸腔镜手术对于早期肺癌的治愈率和开胸手术是没有区别的,甚至更好一些。
主持人:微创手术后还需要进行放疗或者化疗吗? 刘军:需要。如果诊断为肺癌,那么常规手术后需要做常规的化疗。
主持人:来看一位患者的情况:患者:"我是因为老伴身体不适陪她检查时她非要我也做一个检查,结果她没有检查出问题而我却查出了肺癌,没想到手术后的效果非常好,但是术后每当变天的时候就有一些疼,早起锻炼时总觉得喘不上气,另外我还需要进一步的其它治疗吗? 王俊:变天时出现疼痛是一种正常的术后现象,大多数人在2年以后是可以恢复正常的。 刘军:患者早起锻炼时喘不上气有两方面原因1、患者本身年龄偏大。2、切除了一个肺叶,肯定会影响到肺功能。患者活动应该量力而行,不要运动量太大。 王俊:患者的治疗应该完成了,因为这是一个早期肺癌患者,手术很成功,术后做了2个疗程的化疗。病人今后要定期到医院进行复查,通常2年内保证每3个月复查一次,2年到5年最好每半年复查一次,5年以后最好每1年复查一次。以便早期发现病变,尽早处理。
主持人:福建王先生 73岁 我老伴65岁,去年得了右下肺腺癌,手术切除后,因白细胞少没有化疗。今年做CT复查,有少量胸水,应该如何治疗? 王俊:首先要明确胸水是原来手术引起的残留胸水还是新长的胸水。如果是残留的胸水就不需要治疗,如果是恶性胸水就需要进一步治疗。
主持人:黑龙江李女士 43岁 请问晚期肺癌传染吗? 刘军:目前看来肺癌没有传染性。
本期要点 1、 定期体检可以及时发现肺部肿瘤 2、 发现肿瘤后应该尽早明确良恶性并进行治疗 3、 早发现、早治疗可以提高肺癌病人的生存率
主持人:门诊时间 王俊 周二下午 周三上午 刘军 周五上午;医院联系电话 (010)68792679、68314422-3710
|