 张敏州 教授 广东省中医院重症监护科主任、中国医师协会理事 擅长各种危重疾病监护治疗,采用中西医结合的方法成功救治危重非典型肺炎病人近20例。(左图)
林琳 广东省中医院呼吸科主任 广东省中医药学会热病专业委员会副主任委员 擅长中西医结合治疗呼吸系统疾病 采用中西医结合的方法治疗非典型肺炎取得明显效果。(右图)
观众朋友们,您们好!这里是中央电视台《健康之路》直播节目,今天我们来聊的是非典型肺炎方面的问题。
主持人:什么是非典型肺炎? 张敏州:我国非典型肺炎从发病到现在总共收治了1290例病人,死亡55例,广东省总共收治了1213例,死亡44例,到目前为止广东省病人80%已经治愈出院,可以说非典型肺炎在广东省已经得到了很有效的控制。 林琳:现在广州市市民生活已经很平静了,前段时间出现的不敢外出、抢购板蓝根的情况都有所好转,大街上也很少有带口罩的人了。中医认为非典型肺炎是属于中医热病的范畴,所谓热病就是以发烧为主要症状的传染性疾病,这种病的发生是在身体抵抗力不足也就是中医所说的正气不足的情况下才会发病。
主持人:来看两位广东省中医院被感染了非典型肺炎的患者的情况: 钟医生:现在回想起来我接触了一位叫黄发胜的病人以后的三天就开始发烧,还以为是一般的普通发烧,但是过了三天以后烧还是退不了,这时又出现了胸口疼痛,照了个胸片后发现右下肺有感染,接着就住院了。 黄发胜(广东省第一例非典患者):"当时我的病很重,右下肺呼吸减得很弱,肺部里面有花斑点,有空洞,还有气囊和气囊泡,靠吸氧气维持呼吸,特别到了1月14号,大概住院5天以后就感到呼吸困难,发了病重通知,当时我的感觉是这种病和一般的肺炎不一样,特别难治,人也特别幸苦。"
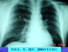
主持人:王丽(护士)是什么时候感染的? 王丽:我自己也不能明确说出自己的感染潜伏期有多长,但是我有明确的非典病人接触史,因为我在重症病房工作,3月13日我刚下班就发现自己双腿比较软,人有一种往下坠的感觉,开始以为是太疲劳导致的,回到宿舍量体温发现体温是38.4度,这时我赶紧就给科室打电话,然后拍了一个胸片后最终确诊为非典型肺炎。 张敏州:钟医生是我院第一个明确感染非典型肺炎的病人,最开始并不知道是感染了非典型肺炎,和黄丽护士一样开始都有疲乏无力的症状。 林琳:来看看胸片的情况:黄发胜的胸片可以看到一大片的阴影,发生了实变,正常的肺泡是充满空气的,而现在黄发胜的胸片显示没有空气。钟医生的胸片可以看到肺叶有发炎的现象。非典型肺炎的发病与季节有很大的关系,春天是呼吸系统疾病的高发季节。
 
张敏州:非典型肺炎要和感冒以及典型肺炎区分开来,感冒的病人除了发烧以外多数都有打喷嚏、流鼻涕、咳嗽等症状,非典型肺炎病人的症状除了发烧以外,不像感冒,吃一些感冒药或者多休息就能恢复。典型肺炎一般都是细菌引起的,抗菌素治疗应该是有效的,另外典型肺炎病人一般都是由细菌引起的,抗菌素治疗是有效的,白细胞是高的,肺的病灶都是局限在某一个肺的部分。而现在讲的非典型肺炎在病原学方面目前还不是很清楚,可能跟病毒感染有关,感染后白细胞并不升高,临床症状除了发烧、疲乏等多数有干咳的情况,这种咳嗽痰比较少,偶尔有些血丝痰,病灶在肺部的进展情况开始可以是局限的,1-2天后就可以发展得很弥漫,都是呈一些斑片状的改变。 钟医生:我住院后连续三天还不能退烧,都持续在39度以上,复查胸片时又发现了左下肺部感染,我就觉得非常害怕了,因为觉得和一般的肺炎是不同的,连续发烧,浑身无力。 张敏州:我院到目前总共收治了112例病人,这些病人除了少数几个病人因为年老体弱合并有基础病如冠心病、肺心病、肾病还有两个病人来医院的时间太晚以外其他病人都已经康复出院了。
主持人:总的治疗方案是怎样的? 林琳: 中西医分期 早期(感染早期):发病后1-5天左右 中期(进展期):发病后3-10天左右 峰期(高峰期):发病后7-14天左右 后期(恢复期):发病后10-14天以后 张敏州:钟医生住院后当时除了发烧以外脸色是很苍白的,精神很差,这也说明当时肺部的病灶已经在发展了,影响到了呼吸功能,所以有气短的感觉。黄丽发病时也是发烧很厉害,感到气促,走路很吃力。在高峰期病人是很幸苦的,持续高烧、呼吸困难,这时往往需要运用人工方法帮助呼吸。
主持人:中医的针对性治疗是怎样的?
林琳: 早 期 时间:多在发病后1-5天左右 特点:湿热在表 治疗:清热利湿,透邪外出
中 期 时间:多在发病后3-10天左右 特点:湿热内盛 治疗:清热化湿、宣肺理气
峰 期 时间:多在发病后7-14天左右 特点:湿热毒盛、耗气伤阴 治疗:祛邪扶正
后 期 时间:多在发病后10-14天以后 特点:气虚挟湿挟瘀 治疗:补气、化湿、活血
主持人:在治疗过程中有哪些重要的经验? 张敏州:非典型肺炎的传播途径主要是通过与病人的密切接触包括飞沫、痰、分泌物等进行的,采用中西医结合的方法可以使病人发烧或者气促的症状减轻,另外也可以缩短病人的治疗时间,在我院住院时间最短的病人是一周,最长的是一个多月,总的来讲恢复情况是不错的。
主持人:为什么广东省医务战线倒下的医务人员特别多? 张敏州:这是因为广大医务人员都是在第一线工作,抢救的都是非典型肺炎的重症病人,尤其在重症监护科总共有23例病人,医务人员每天面对的就是这些重症病人,需要护士进行各种护理,很多医务人员都是冒着生命危险在工作岗位上坚持战斗。
主持人:患者应该怎样配合医务人员进行治疗呢? 林琳:患者最关键的是要有信心,因为非典型肺炎是可治可防的,一定不要害怕甚至是自暴自弃,要积极配合医生进行治疗。
主持人:治愈的标准是什么? 张敏州:有三条:1、停用退烧药或者激素后体温正常7天以上。2、呼吸系统症状明显有所好转。3、肺部病灶已经明显吸收。一般来说达到这个标准就可以出院,从目前情况来看还没有复发的情况。
主持人:门诊时间 张敏州 周二上午 林琳 周一下午;医院联系电话 (020)81887233-550、352
|